群发资讯网
看骨科的叶培的文章
肩峰形态分型。Bigliani分型是用于描述肩峰下表面形态的经典分型。...
2025-05-26 12:18
肩峰形态分型。Bigliani分型是用于描述肩峰下表面形态的经典分型。...
滑膜软骨瘤。膝关节滑膜软骨瘤病3大特征: 1️⃣ 游离体像‘石榴籽...
2025-05-25 12:18
滑膜软骨瘤。膝关节滑膜软骨瘤病3大特征: 1️⃣ 游离体像‘石榴籽...
肩袖撕裂修复方法。融合式缝线桥技术
2025-05-20 12:12
肩袖撕裂修复方法。融合式缝线桥技术
肩胛下肌腱损伤−逗号征。✅ 逗号征= 肩胛下肌肌腱断裂/撕裂的典型特征...
2025-05-19 12:13
肩胛下肌腱损伤−逗号征。✅ 逗号征= 肩胛下肌肌腱断裂/撕裂的典型特征...
肩胛下肌撕裂Lafosse分型。肩胛下肌撕裂Lafosse分型|从保守...
2025-05-04 13:34
肩胛下肌撕裂Lafosse分型。肩胛下肌撕裂Lafosse分型|从保守...
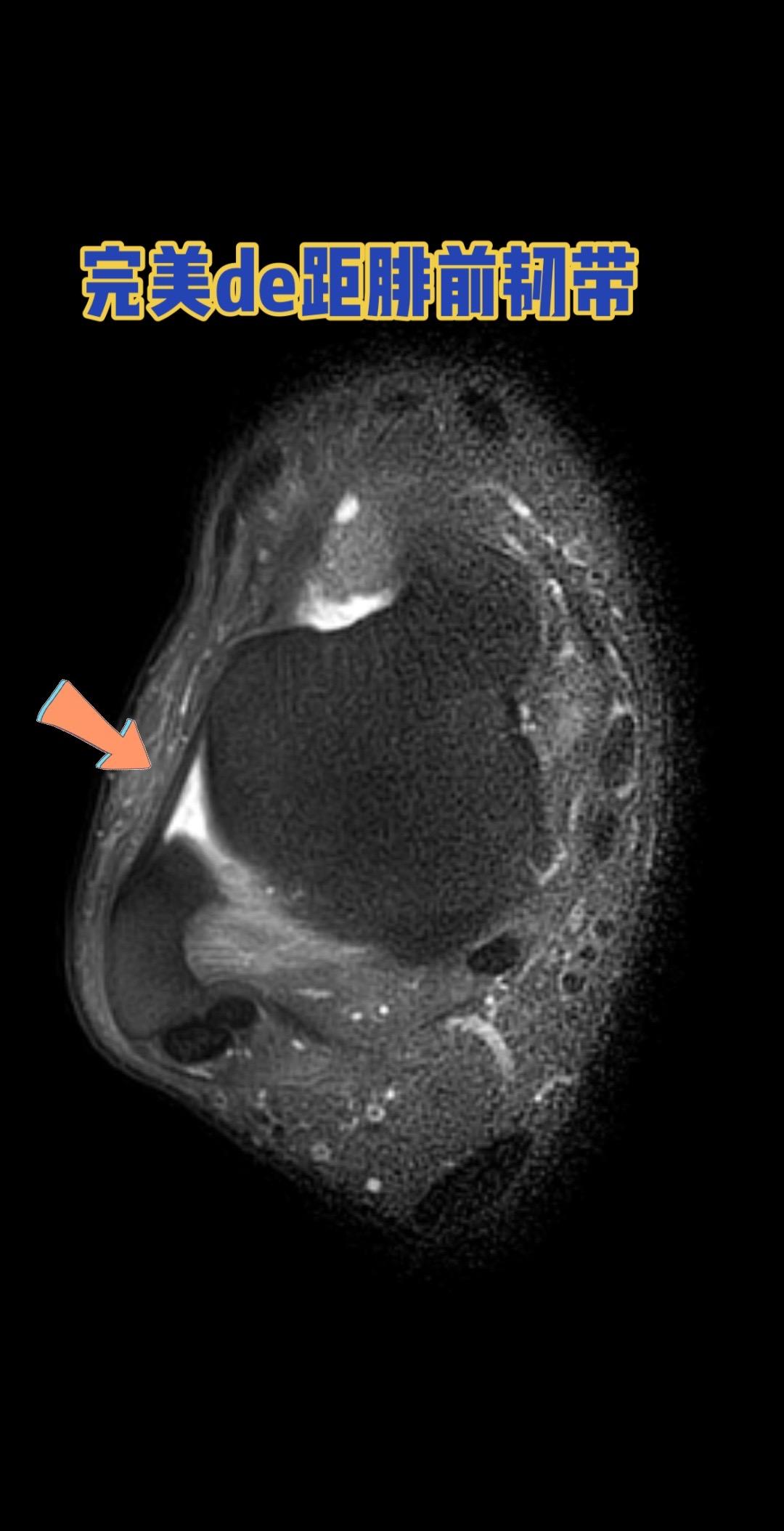
距腓前韧带。👉 健康的距腓前韧带长这样! 距腓前韧带
2025-05-03 13:31
距腓前韧带。👉 健康的距腓前韧带长这样! 距腓前韧带
前交叉韧带重建术后评估。前交叉韧带重建术后CT、MRI评估📐——隧道位置、韧带
2025-05-01 13:31
前交叉韧带重建术后评估。前交叉韧带重建术后CT、MRI评估📐——隧道位置、韧带
TFCC浅层撕裂修复方法。经6R入路修复三角纤维软骨复合体(TFCC)...
2025-04-30 13:30
TFCC浅层撕裂修复方法。经6R入路修复三角纤维软骨复合体(TFCC)...
TFCC尺骨凹部骨隧道镜下修复术。TFCC撕裂合并尺骨凹部断裂及远端桡...
2025-04-28 01:53
TFCC尺骨凹部骨隧道镜下修复术。TFCC撕裂合并尺骨凹部断裂及远端桡...
关节镜下的“完美肩关节”长啥样。肩关节肩袖
2025-04-26 10:43
关节镜下的“完美肩关节”长啥样。肩关节肩袖
"鞋匠式"缝合技术。关节镜下肩袖修复中肱二头肌增强无结缝合技术
2025-04-26 10:44
"鞋匠式"缝合技术。关节镜下肩袖修复中肱二头肌增强无结缝合技术
肩关节镜入路。肩关节手术的"GPS导航",这些标记线才是肩关节镜的关键...
2025-04-22 04:40
肩关节镜入路。肩关节手术的"GPS导航",这些标记线才是肩关节镜的关键...
腕关节镜标准入路+体表标记。手腕里的‘高速公路’地图!关节镜从哪进?肌...
2025-04-21 06:14
腕关节镜标准入路+体表标记。手腕里的‘高速公路’地图!关节镜从哪进?肌...
肘关节镜入路。🔍肘关节镜入路“死亡三角”?这些神经必须躲开! 一...
2025-04-20 04:52
肘关节镜入路。🔍肘关节镜入路“死亡三角”?这些神经必须躲开! 一...
肩关节痛图。肩膀痛位置不同,病根完全不同!快看你是哪一种?💡运动医学
2025-04-10 04:49
肩关节痛图。肩膀痛位置不同,病根完全不同!快看你是哪一种?💡运动医学
腘绳肌切取手术。全步骤解析|医学解剖干货。移植物
2025-04-05 04:46
腘绳肌切取手术。全步骤解析|医学解剖干货。移植物
腘绳肌:ACL重建的"黄金替补"🏆。作为自体移植物的首选。它的优势...
2025-04-04 04:48
腘绳肌:ACL重建的"黄金替补"🏆。作为自体移植物的首选。它的优势...
踝关节镜入路标记。踝关节镜的‘秘密通道’!🔍 这些标记点get了吗?
2025-03-26 04:40
踝关节镜入路标记。踝关节镜的‘秘密通道’!🔍 这些标记点get了吗?
髋关节镜手术入路标识‼️。髋关节镜手术的关键在于精准的入路选择!带你清...
2025-03-23 04:38
髋关节镜手术入路标识‼️。髋关节镜手术的关键在于精准的入路选择!带你清...
前交叉韧带康复计划
2025-02-27 03:36
前交叉韧带康复计划
第一页
下一页
作者信息
看骨科的叶培
感谢大家的关注
分类: 健康
热门分类
推荐
热榜
军事
NBA
体育
社会
明星八卦
娱乐
财经
科技
汽车
历史
国际
游戏
动漫
公益
搞笑
商业
互联网
数码
国际足球
房产
家居
时尚
科学探索
职场
育儿
股票
教育
影视
情感
热点
中国军情
武器
中国南海
中国足球
亚洲杯
科比
综合体育
CBA
投资
楼市
大咖秀
外汇
创业
风口
SUV
豪车
概念车
优惠
新能源
美国
欧洲
朝日韩
俄罗斯
孕期
街拍
恋爱攻略
婚姻
正能量