群发资讯网
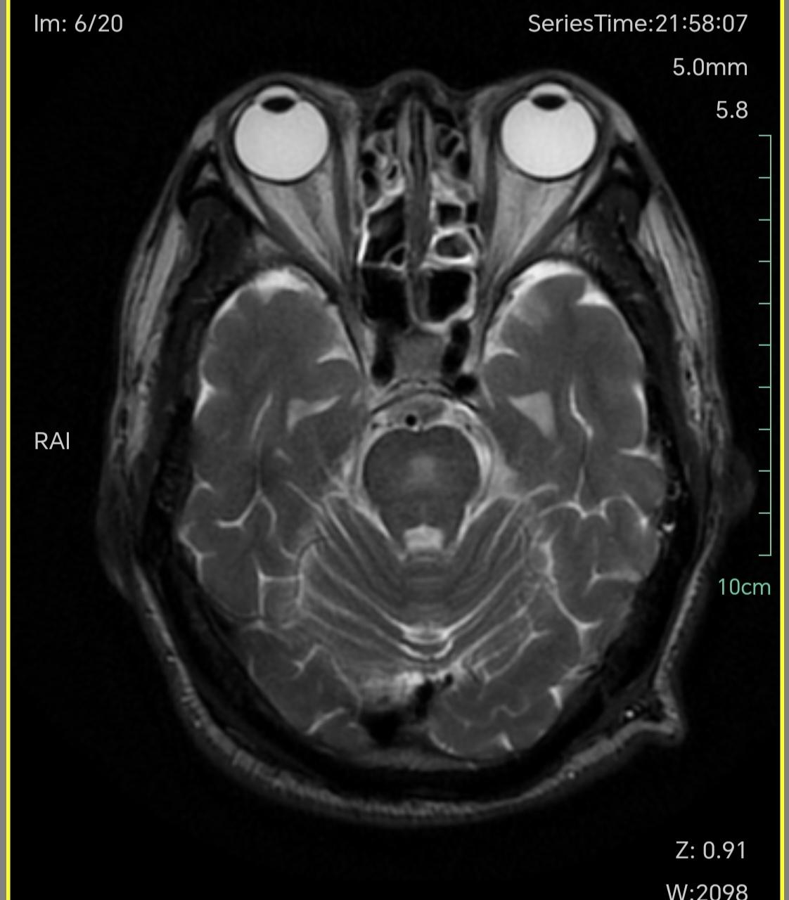
三叉戟🔱征。三叉戟征(Trident sign)是脑桥中央髓鞘溶解症...
2025-09-10 03:01:06
神内的笔记
健康
三叉戟🔱征。三叉戟征(Trident sign)是脑桥中央髓鞘溶解症较为典型的影像学表现,其形成的原因主要与该部位的解剖结构相关。中脑大脑脚的皮质脑桥纤维终止于脑桥核,这些细胞的轴突发出脑桥横行纤维,后者越过中线与皮质脊髓束和皮质核束交叉,并将其分成许多小束。脑桥横行纤维进入小脑中脚,分布于小脑半球。当这些部位的髓鞘溶解时,就可形成三叉戟征。
热门分类
推荐
热榜
军事
NBA
体育
社会
明星八卦
娱乐
财经
科技
汽车
历史
国际
游戏
动漫
公益
搞笑
商业
互联网
数码
国际足球
房产
家居
时尚
科学探索
职场
育儿
股票
教育
影视
情感
热点
中国军情
武器
中国南海
中国足球
亚洲杯
科比
综合体育
CBA
投资
楼市
大咖秀
外汇
创业
风口
SUV
豪车
概念车
优惠
新能源
美国
欧洲
朝日韩
俄罗斯
孕期
街拍
恋爱攻略
婚姻
正能量